
What are wisdom teeth( జ్ఞానదంతం)?
Wisdom teeth are the third molars and last on each side of the upper and lower jaws. Most people will have four wisdom teeth at the back of the mouth two on the top, two on the bottom. In many individuals, the wisdom teeth aren't visible because they have become impacted (not erupted ) under the gingival tissue due to the space problem. The wisdom teeth usually erupt when an individual has crossed adolescence and becomes a young adult that is between 18-24 years. Due to the age at which they erupt, these teeth have been called the wisdom teeth. Wisdom is a misnomer and their eruption is not associated with wisdom. previously, these wisdom molars were functional as the size of the jaw bones were bigger and sufficient to accommodate all. With evolution, the sizes of the jaw bones have reduced resulting in impacted (not able to come) or incompletely erupted or misaligned wisdom molars. Now wisdom teeth are classified as vestigial organs like the appendix.
Not all wisdom teeth need to be extracted. When a wisdom tooth erupts cleanly through the tissue without disturbing the adjacent tooth, the wisdom tooth can be retained in the mouth as long as the person is able to brush and clean it. The condition of the wisdom teeth changes a lot between the ages of 18 and 21. patient advised that wisdom teeth are examined regularly to determine the proper diagnosis and course of action in this age group.

Causes
Wisdom teeth( జ్ఞానదంతం) become impacted when they don't have enough space to come out of the jaw bone. Types of impacted teeth like this
Complications
Some problems caused by impacted teeth
Prevention
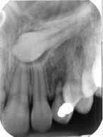
If you come to the clinic with pain at the last molar area, and difficulty in opening your mouth, it is likely that wisdom teeth are impacted under the gums. We will take an x-ray and find out if the impacted wisdom tooth needs to be removed. Sometimes a small cut is enough for the wisdom tooth to come out.
If you are diagnosed and decided to extract the wisdom tooth, depending on the situation will decide, whether it is on local anesthesia or general anesthesia.most of the wisdom tooth extractions will do with the aid of a local anesthetic while you’re sitting in the dental chair. it is a relatively pain-free experience during the procedure. However, if it’s a complex case due to the position and shape of the roots, and patient non-cooperative operation will likely be performed while you are asleep under general anesthesia in the hospital.
Wisdom teeth are difficult to extraction. so stitches may be required following their removal. Removal may cause swelling and some bleeding for the first day, but over the counter medication can help alleviate the pain. Typical wisdom teeth recovery time is three to four days, although it can be as long as one week. The length of recovery depends a lot on how badly the wisdom teeth were impacted and how they were erupting.
In the first 12 hours post removal, Most people have little to no pain after surgery. You'll likely have swelling and mild discomfort . It’s best to stick to a soft diet such as ice cream,curd rice which don’t require chewing. Over the next few days you can reintroduce other foods into your diet. Don’t eat hard, crunchy, or sticky foods that may scratch your wounds. Hot liquids can increase swelling. Instead, try drinking cold liquids. Don’t drink through a straw. Sucking may loosen blood clots that help your mouth heal.

Pericoronitis is an inflammation of the soft tissues that surrounds a partially erupted wisdom tooth. It is a common problem that usually affects young adults.Most of the pericoronitis cases occur in lower wisdom teeth.

Crowded upper wisdom teeth within the maxilla usually lean sideways and rub against the cheek. This could cause ulcers on the cheek, mastication issues and chronic ulceration which sometimes leads to carcinoma.Brushing upper wisdom teeth is also very difficult.it may lead to caries or gum infection.

Impaction of maxillary and mandibular canines is very common problem.Maxillary canines are the most commonly impacted teeth, second only to third molar

Wisdom teeth are molars, your toughest, widest teeth that grind food. But some people don’t have all their wisdom teeth. They’re the ones most commonly missing from adult mouths. Some would theorize that our jaws have changed over the years due to changes in our diet.

Call to your dentist right away if You have a difficulty in breathing or swallowing or severe pain or bleeding continuously even after 2 hours surgery. Your face or jaw stays swollen for more than a few days. You feel numbness or notice pus or foul smells.

Surgical extraction is the method by which a tooth is removed from its socket, after creating a flap and removing part of the bone that surrounds