If your teeth are stained, discolored, worn, chipped, broken, misaligned, misshapen, or have gaps between the teeth, Sridevi dental clinic can give you a better smile and confidence. A smile makeover improves the looks of your smile through one or more procedures. we will plan and work with you to develop a treatment plan. here you’ll find some information that can help you to learn more about the different types of cosmetic dental procedures available in Sridevi dental clinic

Cosmetic Dental Veneers are a thin shell made out of porcelain or composite material. Veneers involve a cosmetic dentistry procedure in which thin tooth-colored porcelain or composite resin facings are bonded to the front of teeth. They are custom made and cemented to the front side of the tooth. indications for veneers

Cosmetic dental lumineers provide the same function as veneers, but they are not as invasive. The original tooth is left unchanged and the enamel is not damaged. comparatively, Lumineers are very much thinner than veneers (they are about as thick as a contact lens), but they are still strong and durable.

A dental implant is a metal device designed to replace missing teeth. The device is usually made out of titanium and is surgically placed into the jawbone where the tooth is missing. Unlike a dental bridge, an implant is permanent. A dental implant is designed to act as the tooth root and can anchor an artificial tooth or teeth such as a crown, bridge, or denture.

The defective part is removed, by cleaning and restored with tooth color cosmetic fillings Bonding is the process in which tooth-colored materials are adhered (bonded) to the tooth. This is a procedure that can be used to repair or improve the appearance of a tooth that has been badly stained, broken, or chipped.

Teeth naturally darken with age, however staining may be caused by various foods and beverages such as coffee, tea and berries, some drugs such as tetracycline, smoking, or a trauma to a tooth. There are various teeth whitening options available.

Crowns, also referred to as caps, are custom made to fit over your whole tooth after the cosmetic dentist has prepared it. They are usually made out of acrylic or porcelain that has been fused to metal to withstand biting pressure. Crowns can be used in cosmetic dentistry to treat teeth that are poorly shaped, badly decayed, broken, chipped, have had large fillings, or to cover spaces in between teeth.

Orthodontics are not just for kids. More and more adults are seeking treatment from orthodontists for cosmetic purposes. If you have buck teeth or crooked teeth, ask your dentist if an orthodontist can help you.

Having a big sale, on-site celebrity, or other event? Be sure to announce it so everybody knows and gets excited about it.

Are your customers raving about you on social media? Share their great stories to help turn potential customers into loyal ones.


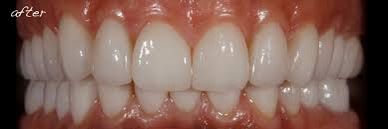
gummy smile corrected with this orthognathic surgery

Cosmetic Gum Contouring done to increase the length of central incisors to improve esthetic appearence